1: ねこ名無し ★@\(^o^)/ 2016/07/16(土) 22:39:30.78 ID:CAP_USER.net


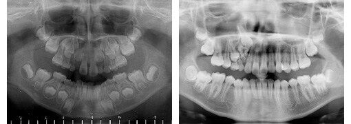
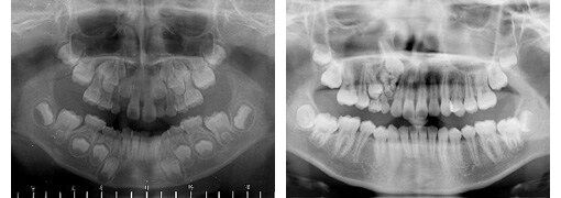
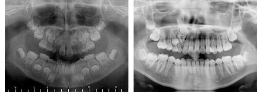
7月12日、騰訊網によると、四川省広安市出身の女性がこのほど顎に力が入らなくなり病院で検査を受けたところ、顔の中に埋まっていた歯が眼部周辺を圧迫していることが発覚、除去手術を受けた。
埋もれていた歯が眼部を圧迫していたのは、広東省広州市で働く28歳の女性。1カ月ほど前、硬い物を食べていたところ口に力が入らなくなり、以後柔らかいものしか食べることができなくなった。
7月2日に現地の病院でCTを撮影したところ、衝撃の事実が発覚した。右の眼窩のすぐ下に楔形の歯があり、今にも眼部に飛び出してきそうな状況だったのだ。
「これ以上放っておくと危険」と医師に言われた女性は同8日、重慶市の大きな病院を訪れた。
検査により、乳歯が抜けるのが遅かったために生える場所がなかった永久歯が顎の骨の間を移動して眼窩の下部に到達。これより上に移動すれば眼部が腫れあがり、眼球が破裂する可能性があると診断された。
すぐに除去手術のプランが立てられ、若い女性であることから顔面にメスを入れずに上あごの歯茎を切開して問題の歯を抜きとることに決定。同11日に手術が行われ、長さ約3センチの歯が無事摘出された。
知らぬ間に自分の歯が目を圧迫していたとはなんとも恐ろしい。専門家は「乳歯が思春期になっても抜けないで残っていた場合は、病院に行って歯胚が埋もれていないかを検査して」と呼びかけている。(提供/フライメディア)
http://www.recordchina.co.jp/a144729.html
2: <丶`∀´>(´・ω・`)(`ハ´ )さん@\(^o^)/ 2016/07/16(土) 22:40:32.24 ID:+ICzntZ7.net
チャイナでは眼球も破裂するのか
3: <丶`∀´>(´・ω・`)(`ハ´ )さん@\(^o^)/ 2016/07/16(土) 22:43:10.63 ID:dFQmnwY1.net
23: <丶`∀´>(´・ω・`)(`ハ´ )さん@\(^o^)/ 2016/07/17(日) 08:01:03.57 ID:NzwO67H4.net
>>3
やっぱ、こうゆう構造なんだね。
キモ!!
やっぱ、こうゆう構造なんだね。
キモ!!
34: <丶`∀´>(´・ω・`)(`ハ´ )さん@\(^o^)/ 2016/07/17(日) 09:00:00.93 ID:o8qPq4Uu.net
>>3
これは酷いわ‥…
これは酷いわ‥…
4: <丶`∀´>(´・ω・`)(`ハ´ )さん@\(^o^)/ 2016/07/16(土) 22:44:29.06 ID:VeysrgmA.net
俺も数本まだ乳歯だけどこうはなってない
32: <丶`∀´>(´・ω・`)(`ハ´ )さん@\(^o^)/ 2016/07/17(日) 08:53:51.91 ID:a/29tJ4/.net
>>4
あ、オレも!仲間いた笑
25歳過ぎて歯医者通い出した時にはじめて発覚したよ。
自分じゃ乳歯残ってるの意識してなかった。
あ、オレも!仲間いた笑
25歳過ぎて歯医者通い出した時にはじめて発覚したよ。
自分じゃ乳歯残ってるの意識してなかった。
6: <丶`∀´>(´・ω・`)(`ハ´ )さん@\(^o^)/ 2016/07/16(土) 22:47:35.94 ID:CfbqPCe2.net
33本目の歯かよすげーな遺伝子!
8: <丶`∀´>(´・ω・`)(`ハ´ )さん@\(^o^)/ 2016/07/16(土) 22:57:45.10 ID:g8j62/Lq.net
親知らずまで32本全部そろっているように見えるんだが、
一本は乳歯のままなのか。写真左上の糸切り歯がそうかな?。
一本は乳歯のままなのか。写真左上の糸切り歯がそうかな?。
12: <丶`∀´>(´・ω・`)(`ハ´ )さん@\(^o^)/ 2016/07/16(土) 23:08:42.11 ID:AcmvrQo0.net
右上の糸切り歯の場所に乳歯がいすわっていて
中の歯の種みたいな奴が埋まっていて目の方向に向かって生え始めたんだな
おたまじゃくしと同じで
歯ってのは頭ができて、足が生えてくると思ってくれ。
歯の頭が乳歯に邪魔されて向きが変わってしまったのが原因だ
親知らずだと たま~にあるんだけどさ
中の歯の種みたいな奴が埋まっていて目の方向に向かって生え始めたんだな
おたまじゃくしと同じで
歯ってのは頭ができて、足が生えてくると思ってくれ。
歯の頭が乳歯に邪魔されて向きが変わってしまったのが原因だ
親知らずだと たま~にあるんだけどさ
15: <丶`∀´>(´・ω・`)(`ハ´ )さん@\(^o^)/ 2016/07/16(土) 23:12:57.25 ID:vZvg4aSw.net
ここまで眼窩に近いのは初めて見た
逆生で上顎内にあるのはよく見るけど
逆生で上顎内にあるのはよく見るけど
16: <丶`∀´>(´・ω・`)(`ハ´ )さん@\(^o^)/ 2016/07/16(土) 23:14:33.83 ID:FHgiCWJJ.net
レントゲンのおかげでそんなに怖くない画像で良かった
17: <丶`∀´>(´・ω・`)(`ハ´ )さん@\(^o^)/ 2016/07/16(土) 23:16:08.49 ID:vZvg4aSw.net
右上Cが残っていて、右上3番が逆生しとるんだな
てか、この人、左上3と4の間にも何かない?
てか、この人、左上3と4の間にも何かない?
31: <丶`∀´>(´・ω・`)(`ハ´ )さん@\(^o^)/ 2016/07/17(日) 08:45:08.96 ID:VBni6Ze9.net
36: <丶`∀´>(´・ω・`)(`ハ´ )さん@\(^o^)/ 2016/07/17(日) 09:07:26.88 ID:o8qPq4Uu.net
>>31
煤S(;゚□゚)ノギャアアーー!!
煤S(;゚□゚)ノギャアアーー!!
37: <丶`∀´>(´・ω・`)(`ハ´ )さん@\(^o^)/ 2016/07/17(日) 10:02:32.58 ID:ysXCMDfe.net
>>31
コラじゃなくて、まじ?
コラじゃなくて、まじ?
38: <丶`∀´>(´・ω・`)(`ハ´ )さん@\(^o^)/ 2016/07/17(日) 10:16:48.50 ID:exmuJdgJ.net
>>37
ぐぐると同じ症例いっぱいあるよ
ぐぐると同じ症例いっぱいあるよ
40: <丶`∀´>(´・ω・`)(`ハ´ )さん@\(^o^)/ 2016/07/17(日) 10:45:30.91 ID:jJaqDou5.net
>>37
コラだよ
骨のない所に歯はありえない
コラだよ
骨のない所に歯はありえない
41: <丶`∀´>(´・ω・`)(`ハ´ )さん@\(^o^)/ 2016/07/17(日) 11:27:18.37 ID:Cfi23vQ+.net
>>40
歯牙腫を知らんのか
歯牙腫を知らんのか
歯牙腫
歯牙腫(しがしゅ)とは、歯の硬組織を主体とする歯原性腫瘍の一種。
エナメル上皮腫と共に歯原性腫瘍の代表格である。形成された硬組織の配列状態により複雑性と集合性に分けられ、後者が多いといわれるが両者の移行性もあり。両者とも本当の腫瘍ではなく組織奇形(過誤腫)に類似する病変である。
https://ja.wikipedia.org/wiki/歯牙腫
42: <丶`∀´>(´・ω・`)(`ハ´ )さん@\(^o^)/ 2016/07/17(日) 13:45:07.47 ID:VJWf4Hdx.net
>>41
歯牙種はこんなんならへん
歯牙種はこんなんならへん
35: <丶`∀´>(´・ω・`)(`ハ´ )さん@\(^o^)/ 2016/07/17(日) 09:02:35.25 ID:o8qPq4Uu.net
人体って面白いなぁ
39: <丶`∀´>(´・ω・`)(`ハ´ )さん@\(^o^)/ 2016/07/17(日) 10:34:28.72 ID:4260H/SX.net
以前、インドで鼻の穴の中に生えてきたってニュースがあったが…。
26: <丶`∀´>(´・ω・`)(`ハ´ )さん@\(^o^)/ 2016/07/17(日) 08:11:13.43 ID:jo+FwZ3N.net
歯目撮りですか
1001: うしみつ 2032/3/2(火) 04:044:44.44 ID:usi32.com
【朗報】中国の二次美少女画像、日本より可愛い
【悲報】「女子高生1人のための駅」に来る鉄ヲタが迷惑行為wwwwwwwwwww
【悲報】結婚するから創価学会抜けるって言ったら親父がwwwwヤバイwwwwww
【閲覧注意】裏サンデー新連載『辱(にく)』がグロすぎてヤバいと話題に…
うしみつ四コマ漫画更新中!
【急募】以下のオカルト情報の提供をお待ちしています!
ガールズ&パンツァー 戦車道大作戦! 戦車道の心得
posted with AZlink at 2016.7.18
ポストメディア編集部
一迅社 (2016-07-23)
売り上げランキング: 15
一迅社 (2016-07-23)
売り上げランキング: 15
歯え~
乳歯が抜けなかった場合、こんな危険があるんですか…
下手したら脳まで達して…なんて事態もあるんでしょうか?
●「うしみつ」ではみなさんからのネタ提供をお待ちしています●
ブログを見ていただいたみなさんからのネタ提供を募集します。
以下のようなネタがあれば、「うしみつ」にどしどしお送りください。
ネタはブログに掲載させていただきます。
・恐怖体験談、不思議体験談(実体験・創作問わず)
・「うしみつ」でやってもらいたい話題、ネタ(どんなものでも構いません)
・「うしみつ」で調べてもらいたい話題、ネタ(オカルト関連の未確認情報や噂など)
・イラスト投稿
・その他、速報や上記に該当しない様々なネタ
ネタ投稿は usi32@kjd.biglobe.ne.jp へお願いします。
尚、ネタ投稿以外の連絡先は別ですのでご注意ください。
追記①:たくさんのネタ投稿をいただいております。ネタはなるべく一か月以内に掲載させていただきますが、調査依頼など、掲載に時間がかかる物もあります。気長にお考えいただければ幸いです。
追記② :いただいたメールには掲載日までにお返事を送っております。PCからURL込みの返送となるため、設定によってはお手元に届いていない可能性があります。ご了承ください。




Comment (20)
鳥肌が止まらんわ
みつこ
が
しました
みつこ
が
しました
みつこ
が
しました
みつこ
が
しました
飛び出かかった歯が顔の筋肉圧迫してたとかそんなもんでしょ
みつこ
が
しました
ていうか乳歯全部生え変わった記憶がないんだけどわかってくれる人いないか
みつこ
が
しました
みつこ
が
しました
みつこ
が
しました
確かにないわ
そもそも数えないからな
みつこ
が
しました
みつこ
が
しました
施術が終わってうがい水を口に含んだとたん、右の鼻の穴からうがい水が流れ出してきて驚愕した。
抜いた歯をみたら根っこのほうに肉がけっこうついてたから、医者が何かしくじった可能性もあるかな。
みつこ
が
しました
みつこ
が
しました
みつこ
が
しました
みつこ
が
しました
みつこ
が
しました
やさしい世界。
みつこ
が
しました
みつこ
が
しました
なんか不安になってきたやないか
みつこ
が
しました
みつこ
が
しました
※18
まだ永久歯の虫歯治療受けた事のないヤングマンなのか?
治療前に顎周りのレントゲン撮るからそんな事になってたらわかるだろ。
みつこ
が
しました
コメントする